丁寧なコミュニケーション
歯科治療に対する不安の多くは、医師との意思疎通がうまくいっていないことが原因です。当院では、治療計画を患者様と相談しながら進めます。一方的に治療を始めることはありません。また、治療中もお声かけを行い、安心して治療を受けていただけるよう努めています。
永久歯は一度失うと、再び生えてくることはありません。歯を失う原因には、虫歯や歯周病、ケガなどさまざまあります。
たとえ1本だけの歯の喪失でも、治療をせずに放置すると口腔内の環境が悪化し、他の歯にも虫歯や歯周病が広がってしまいます。さらに咬み合わせが崩れることで、周囲の歯も抜けてしまう「咬合崩壊」が起こり、結果的に多くの歯を失ってしまうことにつながります。
歯を多く失ってしまうと、元のお口の機能を取り戻すのが難しくなるだけでなく、「人前で口を開けたくない」と感じ、歯科への通院をためらってしまう方も少なくありません。
ですが、私たち歯科医師の仕事は、たとえ歯を多く失っていても、今より良い状態を目指して治療を行うことです。どんな状態でも、恥ずかしがる必要はありません。まずは相談からでも構いませんので、どうぞお気軽にご来院ください。一緒にこれからの治療を考えていきましょう。
歯を多く失ってしまった場合は、1本ずつ個別に治療するのではなく、残っている歯の状態や咬み合わせなど、お口全体のバランスを見て治療を行う「フルマウス治療」が必要になることがあります。
歯は1本ごとに独立しているわけではなく、互いに支え合いながら噛み合うことで、咀嚼(そしゃく)や発音などの機能を果たしています。
そのため、食事や会話がしっかりできるように、お口全体の機能を回復させることを目指して治療計画を立て、長期的に良い状態を保てるよう進めていくことが大切です。
人工の歯と歯ぐきが一体になった入れ歯を、お口の粘膜に吸着させて歯の機能を補う治療方法です。保険適用のものと、自費診療による精密な総入れ歯があります。
メリット治療方法の選択によっては費用を抑えることができ、フルマウス治療の中では比較的短期間で治療を終えられる点が特長です。
デメリット食事や会話の際に違和感や不便さを感じることがあり、お口になじむまでに時間がかかることがあります。また、取り外して洗浄・保管する必要があり、日常的なメインテナンスに手間がかかります。
費用保険診療:1万円程度 自由診療:10万〜70万円程度
「オールオン4」は、片顎に4〜6本のインプラントを埋め込み、その上に歯ぐき付きの人工歯を固定する自由診療の治療法です。手術は半日ほどかかりますが入院の必要はなく、「静脈内鎮静法」という、うとうとした状態で行う麻酔を使用するため治療中の痛みや辛さを感じることはほとんどありません。
メリット従来の全顎インプラントよりも費用と治療期間を抑えられます。また、手術当日に仮歯が入るため、見た目の回復が早いのも特長です。
デメリット自由診療かつ外科手術を伴うため、費用負担が大きくなります。また、咬む力が強い方は人工歯の歯冠が割れ、修理が必要になることがあります。
費用自由診療:片顎 205〜340万円(税込225.5〜374万円)程度
失ったすべての歯をインプラントで補う治療方法です。埋め込む本数が多くなるほど費用や治療回数も増えますが、見た目が天然の歯に近く、違和感やトラブルが少ないのが特長です。
メリット3つの治療法の中でも、見た目や噛む力が最も天然歯に近く回復します。セルフケアも通常の歯と同じように歯磨きなどで対応できます。
デメリット外科手術が必要な自由診療のため、費用負担が大きくなります。インプラントの本数が多いと、その分手術や治療期間も長くなる傾向があります。
費用自由診療:片顎 350〜500万円(税込385〜550万円)程度
歯は一度失うと、元のように自然に戻ることはありません。失ったまま放置してしまうと、周囲の歯にも悪影響を及ぼし、さらにお口の環境が悪化してしまいます。治療を先延ばしにしている方や、多くの歯を失っている方も、まずはご相談だけでも構いません。気軽な気持ちでご来院ください。
治療内容が多い場合には、期間や通院回数、費用など気になることも多いかと思います。当院では、まず精密な検査を行い、その結果をもとに複数の治療プランをご提案します。患者様と一緒に相談しながら、最適な方法を選んでいきますので、不安なことやご希望は遠慮なくお伝えください。
お口の健康を取り戻すことで、食事や会話を快適に楽しめるようになります。その後も数ヶ月に一度のメンテナンスで、良い状態を維持していきます。より豊かな生活を送っていただけるよう、私たちは患者様に寄り添いながらサポートしてまいります。

この記事の編集・責任者は歯科医師の佐々木大地です。
歯科医師 佐々木 大地

同じような理由で来院される患者様はたくさんいらっしゃいます。
どんなお口の状態でも、私たちが叱ることはありません。治療前には丁寧にご説明を行い、患者様と一緒に治療計画を考えて進めます。無断で治療を始めるようなこともありません。歯が悪くても、今より良くすることが私たちの仕事です。恥ずかしがらず、まずはご相談だけでもお越しください。
虫歯や歯周病は進行していく病気です。放置すると悪化し、治療も費用も増える傾向があります。歯医者へ足を運ぶことが億劫な様々な理由があるかと思いますが、できるだけ早い段階での受診が将来のためにも大切です。一緒に健康な歯を目指していきましょう。
※1)研究結果により、残っている歯の本数や予防を目的とした受診の有無が、歯科医療費やその他医療費に関連することが示されています。
歯科治療に対する不安の多くは、医師との意思疎通がうまくいっていないことが原因です。当院では、治療計画を患者様と相談しながら進めます。一方的に治療を始めることはありません。また、治療中もお声かけを行い、安心して治療を受けていただけるよう努めています。
治療の際に感じる痛みは、多くの場合、麻酔で軽減することが可能です。当院では、注射の痛みを抑えるための器具や技術を活用し、患者様の負担が少なくなるよう配慮しています。不安の少ない、スムーズな治療を心がけています。
痛みや病気の原因を正確に見つけるためには、詳細な検査が欠かせません。当院では、レントゲンやCTをはじめとする各種検査機器を使って、状態をしっかり把握。適切な治療につなげ、患者様の不安軽減につなげています。
歯科医院から足が遠のいてしまい、治療を受けないままでいると、日常生活でも不便を感じることが増えていきます。
見た目や食事などに支障が出てしまい、ストレスを感じていらっしゃる方も多いでしょう。ただ、問題はそれだけではありません。実は、歯の本数が少ない人ほど、他の病気にかかりやすく、医療費も高くなる傾向があります。(※1)
つまり、歯を失うことで全身の健康にも影響が出てしまう可能性があるということです。今残っている歯を守ること、これ以上悪化させないこと、そして将来的な病気のリスクを減らすためにも、できるだけ早く歯科の受診をおすすめします。
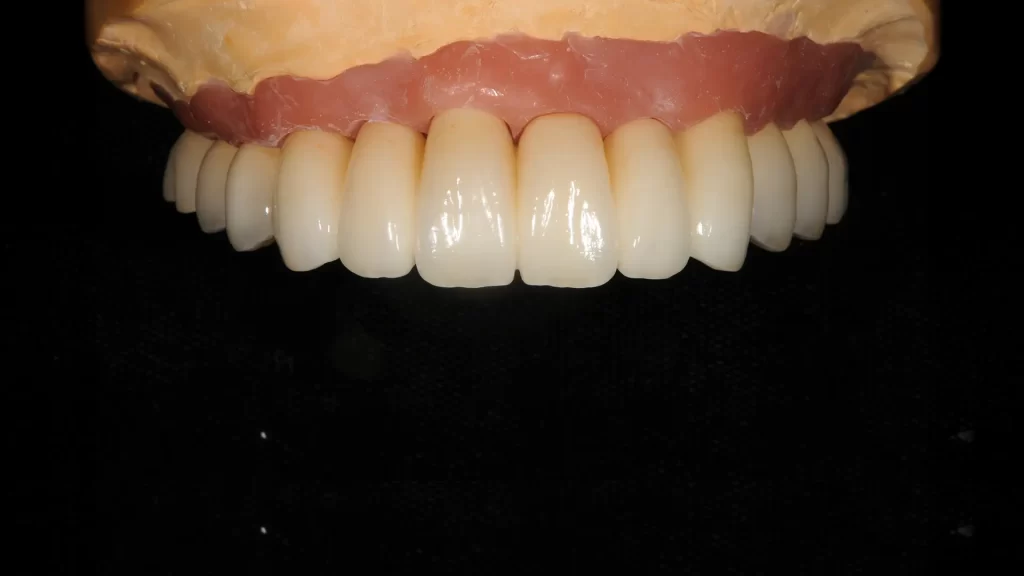
治療前
治療後
| 治療内容 | 上下顎のオールオン4(All-on-4)と骨造成(骨の厚みを補う処置)によるフルマウス治療を行いました。 |
|---|---|
| 期間・回数 | 約9ヶ月間にわたり、11回の通院(カウンセリング・検査含む)を行いました。 |
| 費用 | 自由診療:上下オールオン4+骨造成 合計 4,000,000円(税込 4,400,000円) |
| リスク・副作用 |
|
「今さら診てもらえないのでは」「口の中を見せるのが恥ずかしい」「費用のことを聞きづらい」などの不安から、歯科への一歩が踏み出せない方も少なくありません。
しかし、どんな状態であっても私たちは“今より良くする”ための専門家です。これまでにも同じようなお悩みを持った方が多く来院されています。私たちは患者様を叱ったり笑ったりすることはありません。丁寧にお話を伺い、ご希望やご予算に合わせた複数の治療方法をご提案いたします。
治療内容は一緒に相談して決めていき、最終的には患者様ご自身に選んでいただきます。無断で治療を始めるようなことはありませんので、ご安心ください。
まずは“相談だけ”でも大丈夫です。私たちと一緒に、少しずつ前へ進みましょう。
治療が終わった後も、その状態を維持するための「予防」が大切になります。セルフケアや生活習慣、そして定期的な検診を続けることで、再発を防ぎます。
歯科医院での定期チェックでは、虫歯や歯周病の早期発見・クリーニングが可能です。早い段階で見つかれば、治療にかかる回数も費用も抑えられます。
検診は年に3〜4回ほどの通院で済みますし、治療と比べて痛みを伴う処置も少ないため、苦手意識のある方やお忙しい方にも取り入れやすい予防法です。
治療後のストレスや負担を減らすためにも、ぜひ定期的なメンテナンスをおすすめします。どんなお悩みでも、まずはお気軽にご相談ください。
この記事の編集・責任者は歯科医師の佐々木大地です。
歯科医師 佐々木 大地

この記事の編集・責任者は歯科医師の佐々木大地です。
歯科医師 佐々木 大地

| 曜日 | 月 | 火 | 水 | 木 | 金 | 土 |
|---|---|---|---|---|---|---|
| 診療開始 | 9:30 | 9:30 | 9:30 | 9:30 | 9:30 | 9:30 |
| 診療終了 | 18:30 | 18:30 | 13:00 | 18:30 | 18:30 | 17:00 |
休診日:日曜・祝日 ※日曜・祝日診療は下記診療カレンダーをご覧下さい。
| 日 | 月 | 火 | 水 | 木 | 金 | 土 | ||||||||||||||
|---|---|---|---|---|---|---|---|---|---|---|---|---|---|---|---|---|---|---|---|---|
| ||||||||||||||||||||
| ||||||||||||||||||||
| ||||||||||||||||||||
| ||||||||||||||||||||
| ||||||||||||||||||||
休診日
13時まで
日曜・祝日診療
大阪・兵庫で7万5,000人が利用する歯科医院が福岡に誕生!