「前歯が気になって、人前で思い切り笑えない」「写真を撮るとき、つい口元を手で隠してしまう」前歯の見た目にコンプレックスを抱えている方は、決して少なくありません。
前歯はお顔の印象を大きく左右する部分です。だからこそ、悩みも深くなりがちですが、現在の歯科治療では前歯を綺麗に整える方法がいくつもあります。
この記事では、前歯にコンプレックスを感じる原因ごとに、どのような治療の選択肢があるのかをご紹介します。
加齢による黄ばみや、過去の神経治療による変色など、前歯の色にお悩みの方は多くいらっしゃいます。
前歯は会話中に最も目に入る部分のため、周囲の歯との色の違いが気になりやすい傾向があります。
「前歯が大きい」「左右の形が揃っていない」「古い被せ物が不自然に見える」といったお悩みも、よくある前歯のコンプレックスです。
特に過去に治療した被せ物は、経年によって周囲の歯との色や形のバランスが崩れ、不自然さが目立つようになることがあります。
すきっ歯(正中離開)や、前歯が少し重なっている状態など、歯並びに関するお悩みも前歯を綺麗にしたいとご相談いただくきっかけのひとつです。
軽度の歯並びの乱れであれば、矯正以外の方法で改善できる場合もあります。
見た目のコンプレックスだけでなく、前歯に感じる違和感は、歯科疾患が進行しているサインであることがあります。
例えば、被せ物の縁が合わなくなっている、歯ぐきが下がって根元が見えてきたといった変化は、虫歯や歯周病が進んでいる可能性も考えられます。
「見た目が気になる」と感じたタイミングは、お口の健康を見直す良い機会です。気になることがあるようでしたら、早めに歯科医に相談してみましょう。
歯全体を覆う被せ物で、色・形・大きさを整えることができる治療法です。
セラミッククラウンは天然歯に近い透明感を再現でき、前歯の自然な見た目を重視する方に適しています。
ジルコニアクラウンは色味や透明感がセラミックとはやや異なりますが、強度に優れているため、歯ぎしりや食いしばりがある方にも選ばれています。
どちらも変色しにくく、患者様のご希望やお口の状態に合わせて選ぶことができます。
歯の表面を薄く削り、セラミックの薄い板を貼り付ける方法です。
歯を削る量が少なく済むため、前歯の色や形を綺麗に整えたいが、大きく削ることに抵抗がある方に適しています。
歯科用の樹脂(コンポジットレジン)を直接歯に盛り付けて形を整える方法です。
小さな欠けやすき間の改善に向いており、1回の施術で完了できる場合もあります。
前歯のすき間や重なりが気になる場合は、矯正治療で歯並びを整えることで前歯を綺麗に見せることができます。
近年はマウスピース矯正のように目立ちにくい方法もあり、矯正装置の見た目が気になる方にも選ばれています。
見た目の改善だけでなく、咬み合わせも整えられ、歯磨きもしやすくなる点が大きなメリットです。
その他の治療法や詳しい費用については、審美歯科治療にて解説しています。
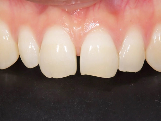
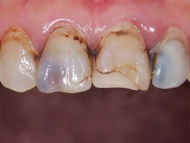
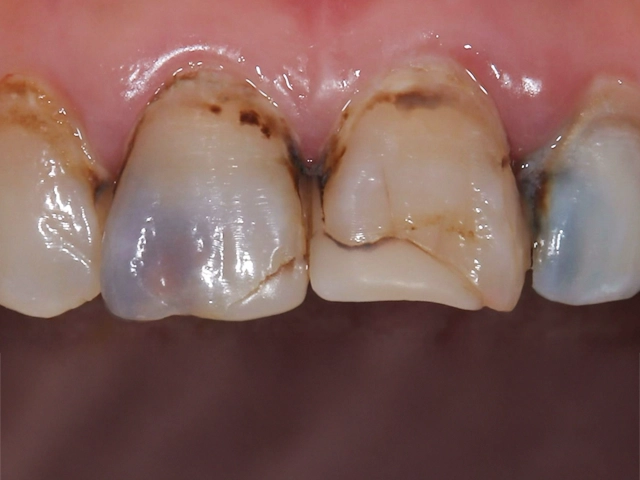
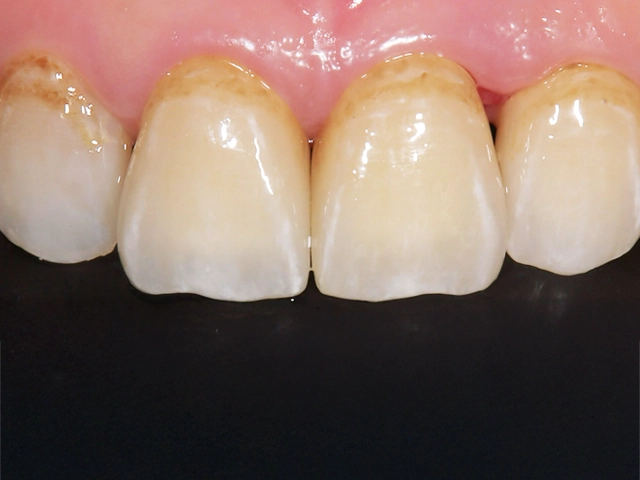
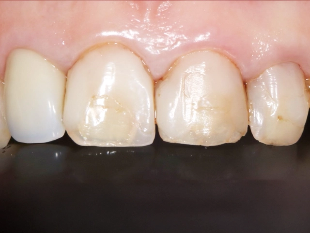
Before
After
| 治療内容 | ジルコニアクラウンを使用した前歯の審美補綴治療 |
|---|---|
| 期間・回数 | 約半年・5回(カウンセリング・検査含む) |
| 費用 | 自由診療 ジルコニアクラウン15万円+税×3歯 合計495,000円 |
| リスク・副作用 | セラミックの詰め物・被せ物は食いしばりが強い場合や咬合力が強い場合、天然歯と同じように割れる場合があります。 |
前歯の治療を検討される際は、メリットだけでなくデメリットも把握したうえで判断することが大切です。
| 区分 | 項目 | 内容 |
|---|---|---|
| メリット | 自信を持って笑える | 前歯が綺麗になることで、口元を気にせず自然な笑顔が出たり、人との会話を楽しめるようになる。 |
| 第一印象の向上 | 前歯はお顔の中でも目立つ部分のため、整えることで清潔感や好印象につながる。 | |
| 咬み合わせの改善 | 見た目だけでなく、歯並びや咬み合わせの改善につながる場合もある。 | |
| お口の健康維持 | 歯並びや被せ物の適合性が整うことで歯磨きがしやすくなるため、虫歯の再発や歯周病の予防にもつながる。 | |
| デメリット | 歯を削る必要がある場合がある | 治療法によっては健康な歯質を削る場合がある。 |
| 費用がかかる | 審美性を重視した治療は自費診療となる場合が多く、経済的な負担が生じることがある。 | |
| 治療期間が必要 | 治療内容によっては複数回の通院が必要です。矯正治療の場合は数ヶ月〜数年かかることもある。 | |
| メインテナンスが欠かせない | 治療後も定期的なメインテナンスを続けることで、綺麗な状態を長く維持することに寄与する。 |
前歯を綺麗にする治療は見た目の改善につながる一方、やり直しが難しい場合もあります。治療を受ける前に、以下の点を意識して歯科医師と相談しましょう。
前歯の治療では、仕上がりのイメージを歯科医師としっかり共有することが大切です。
色味や形の希望を事前に伝え、治療計画に納得したうえで進めることで、思っていた仕上がりと違ったという後悔を防ぐことにつながります。
前歯を綺麗にしたいという気持ちは自然なことですが、見た目だけでなく咬み合わせや歯の健康も含めた総合的な判断が重要です。
長く快適に使い続けられる治療を選ぶことが、結果的に満足度の高い仕上がりにつながります。
前歯の見た目にコンプレックスを感じている方にとって、現在の歯科治療には多くの選択肢があります。
色・形・歯並びなど、お悩みの内容によって適した治療法は異なりますので、まずは歯科医師にご相談いただくことが改善への第一歩です。
前歯を綺麗にすることで、自信を持って笑える毎日を手に入れましょう。
前歯の見た目でお悩みでしたら、お気軽にご相談ください。
この記事の編集・責任者は歯科医師の佐々木大地です。
歯科医師 佐々木 大地

| 曜日 | 月 | 火 | 水 | 木 | 金 | 土 |
|---|---|---|---|---|---|---|
| 診療開始 | 9:30 | 9:30 | 9:30 | 9:30 | 9:30 | 9:30 |
| 診療終了 | 18:30 | 18:30 | 13:00 | 18:30 | 18:30 | 17:00 |
休診日:日曜・祝日 ※日曜・祝日診療は下記診療カレンダーをご覧下さい。
| 日 | 月 | 火 | 水 | 木 | 金 | 土 | ||||||||||||||
|---|---|---|---|---|---|---|---|---|---|---|---|---|---|---|---|---|---|---|---|---|
| ||||||||||||||||||||
| ||||||||||||||||||||
| ||||||||||||||||||||
| ||||||||||||||||||||
| ||||||||||||||||||||
休診日
13時まで
日曜・祝日診療
大阪・兵庫で7万5,000人が利用する歯科医院が福岡に誕生!