「八重歯はかわいい」と言われる一方で、「このままで大丈夫?」と不安に感じる方もいます。八重歯は、前から3番目の“犬歯”が本来の位置より外側に飛び出した状態で、人によって程度はさまざまです。
犬歯は、本来は咬み合わせのバランスをとり、奥歯の負担を減らす大事な役割があります。しかし位置がずれて機能しないと、奥歯に負荷が集中し、すり減りやすくなることがあります。
見た目のチャームポイントとして気に入っている方もいますが、犬歯は見た目以上に“歯の健康を守る重要な歯”でもあります。ここでは、八重歯をかわいいと感じている方にも知っておいていただきたいポイントをご説明します。
自分では八重歯を気に入っていても、歯科医院で「矯正した方がいい」と言われると驚くことがあります。まず知ってほしいのは、歯科医師は見た目を否定しているわけではなく、「八重歯が今後の歯の健康に与える影響」を気にしているという点です。
犬歯が正しい位置にないと、咀嚼のたびに奥歯へ負担がかかりやすくなります。さらに犬歯は、歯を左右に動かすときのガイド役(犬歯誘導)も担っていて、犬歯が当たることで奥歯同士がぶつからないよう守ってくれています。
つまり犬歯は、「奥歯の代わりに負担を受けてくれている大切な歯」でもあるのです。
犬歯は、すべての歯の中でも特に根っこが長く、骨にしっかり支えられている、とても頑丈な歯です。一方で奥歯は、上下から噛む力には強いものの、横方向の力にはあまり強くありません。
そのため、本来は犬歯が少しずつ先端をすり減らしながら、奥歯を横揺れの力から守ってくれているのです。
このように、犬歯の咬み合わせは「歯全体を守るクッション」「咬み合わせを支える柱」のような存在です。
だからこそ、犬歯が本来の位置から外れ、八重歯になってしまっている場合、相談を受けた歯科医師は将来の歯の健康を考えて、歯列矯正を勧めることがあるのです。
八重歯は、「叢生(そうせい)」と呼ばれる不正咬合の一種です。
不正咬合とは、歯並びや咬み合わせが正常な位置からずれている状態を指します。
叢生は、犬歯に限らず、歯がきちんと並ぶためのスペースが足りずに、歯列からはみ出したり、重なり合ったり、ねじれた形で並んでいる状態のことです。
このような「重なり」や「ねじれ」は、必ずしもかわいらしい見た目になるとは限らず、前歯の先端が下唇のラインに沿う「スマイルライン」が乱れてしまうケースも少なくありません。
また、叢生を含む不正咬合が、審美的な自己評価や生活の質(QOL)に影響を与える可能性があるという報告もあります(※1)。
※1)“The results in this study showed that 45.6% … had definite, severe or very severe malocclusion. There was a high association between malocclusion and dental aesthetic self-perception.”
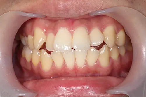
「かわいいと思っていた八重歯」が、矯正で「整った美しさ」になった症例写真です。
Before
After
八重歯がかわいいと思うポイントは、笑ったときに八重歯がアクセントに見えるためですが、歯並びが整うことで口元全体のバランスがとれると、笑顔がやわらかく上品な印象になる傾向があります。
「かわいい」の感じ方には個人差がありますが、歯科的には「ゴールデンプロポーション」や「スマイルライン」「Eライン」など、歯を美し見せる基準に則って歯の矯正を行ないます。
| 治療の内容 | インビザラインコンプリヘンシブによる歯列矯正 |
|---|---|
| 期間・回数 | 2年5ヶ月・11回(カウンセリング・検査含む) |
| 費用 | 自由診療 インビザライン850,000円(税込935,000円)+専門相談50,000円(税込55,000円)
総額900,000円(税込990,000円) |
| リスク・副作用 |
|
八重歯のままでいることは、「かわいい」「チャームポイントだから」と見た目にはメリットを感じられる一方で、 咬み合わせの機能面では大きな懸念がある状態だといえます。
長い年月を八重歯の状態で過ごすことで、奥歯への負担が少しずつ蓄積し、結果として次のようなリスクが高まる可能性があります。
※1)”The difficulty with cleaning of crowded teeth increases plaque accumulation and predisposes to the development of dental caries and periodontal disease.” (訳:叢生歯の清掃の困難さはプラーク蓄積を増加させ、むし歯および歯周病の発症を促進する。)
咬み合わせの大切さを分かっていても、「八重歯がかわいいから、このまま残しておきたい」と考える方もいるかもしれません。
しかし歯科医師としては、お口の健康を第一に考えると、犬歯がその役割を担っていないようであれあ歯列矯正をおすすめすることがあります。
ただし、実際に長い治療期間を過ごし、費用を負担するのは患者様ご本人です。
「見た目としてのかわいい八重歯を大事にしたいのか」「将来の咬み合わせや歯の寿命を優先したいのか」など、ご自身が何を一番大切にしたいのかを、はっきりと伝えていただくことが大切です。
「かわいい八重歯」をそのまま残すのか、歯並びを整えて長期的なお口の健康を優先するのか、その選択肢を決めるのは、最終的にはご自身です。
もし矯正をした方がいいと言われたら、歯科医師とよく相談した上でご検討ください。
この記事の編集・責任者は歯科医師の佐々木大地です。
歯科医師 佐々木 大地

| 曜日 | 月 | 火 | 水 | 木 | 金 | 土 |
|---|---|---|---|---|---|---|
| 診療開始 | 9:30 | 9:30 | 9:30 | 9:30 | 9:30 | 9:30 |
| 診療終了 | 18:30 | 18:30 | 13:00 | 18:30 | 18:30 | 17:00 |
休診日:日曜・祝日 ※日曜・祝日診療は下記診療カレンダーをご覧下さい。
| 日 | 月 | 火 | 水 | 木 | 金 | 土 | ||||||||||||||
|---|---|---|---|---|---|---|---|---|---|---|---|---|---|---|---|---|---|---|---|---|
| ||||||||||||||||||||
| ||||||||||||||||||||
| ||||||||||||||||||||
| ||||||||||||||||||||
| ||||||||||||||||||||
休診日
13時まで
日曜・祝日診療
大阪・兵庫で7万5,000人が利用する歯科医院が福岡に誕生!